ચેપી રોગોના નામ
ચેપી રોગોના નામ
ચેપી રોગો બેક્ટેરિયા, વાયરસ, ફૂગ અથવા પરોપજીવીઓ જેવા રોગકારક સુક્ષ્મસજીવોને કારણે થાય છે. તે દૂષિત ખોરાક અથવા પાણી, જંતુના કરડવાથી અથવા પર્યાવરણીય સંપર્ક દ્વારા વ્યક્તિથી વ્યક્તિમાં ફેલાય છે.
સામાન્ય શરદી: આ એક સામાન્ય વાયરલ ચેપ છે જે નાક અને ગળાને અસર કરે છે. તે હળવાથી મધ્યમ લક્ષણોનું કારણ બની શકે છે, જેમ કે વહેતું નાક, ગળામાં દુખાવો અને ખાંસી.
- વાયરલ ચેપ:
- સામાન્ય શરદી: આ એક સામાન્ય વાયરલ ચેપ છે જે નાક અને ગળાને અસર કરે છે. તે હળવાથી મધ્યમ લક્ષણોનું કારણ બની શકે છે, જેમ કે વહેતું નાક, ગળામાં દુખાવો અને ખાંસી.
- ફ્લૂ: ફ્લૂ એ એક વાયરલ ચેપ છે જે શ્વસનતંત્રને અસર કરે છે. તે તાવ, ઠંડી, ઉધરસ, ગળામાં દુખાવો અને શરીરમાં દુખાવો જેવા લક્ષણોનું કારણ બની શકે છે.
- ચિકનપોક્સ: ચિકનપોક્સ એ એક વાયરલ ચેપ છે જે ખંજવાળ અને ફોલ્લાઓનું કારણ બને છે. તે સામાન્ય રીતે બાળકોમાં જોવા મળે છે.
- ઓરી: ઓરી એ એક વાયરલ ચેપ છે જે તાવ, ઉધરસ, વહેતું નાક અને ફોલ્લીઓનું કારણ બને છે. તે ખૂબ જ ચેપી છે.
- રૂબેલા: રૂબેલા એ એક વાયરલ ચેપ છે જે તાવ, ફોલ્લીઓ અને સોજો લસિકા ગાંઠોનું કારણ બને છે. તે ગર્ભવતી મહિલાઓ માટે જોખમી હોઈ શકે છે.
- HIV/AIDS: HIV એ એક વાયરસ છે જે રોગપ્રતિકારક શક્તિને નબળી પાડે છે. તે એડ્સનું કારણ બની શકે છે, જે એક જીવલેણ સ્થિતિ છે.
- બેક્ટેરિયલ ચેપ:
- સ્ટ્રેપ થ્રોટ: સ્ટ્રેપ થ્રોટ એ એક બેક્ટેરિયલ ચેપ છે જે ગળાને અસર કરે છે. તે ગળામાં દુખાવો, તાવ અને સોજો લસિકા ગાંઠોનું કારણ બની શકે છે.
- ટ્યુબરક્યુલોસિસ (ટીબી): ટીબી એ એક બેક્ટેરિયલ ચેપ છે જે ફેફસાંને અસર કરે છે. તે ઉધરસ, તાવ, વજન ઘટાડવું અને રાત્રે પરસેવો જેવા લક્ષણોનું કારણ બની શકે છે.
- ન્યુમોનિયા: ન્યુમોનિયા એ એક બેક્ટેરિયલ અથવા વાયરલ ચેપ છે જે ફેફસાંને અસર કરે છે. તે ઉધરસ, તાવ, શ્વાસ લેવામાં તકલીફ અને છાતીમાં દુખાવો જેવા લક્ષણોનું કારણ બની શકે છે.
- મેનિન્જાઇટિસ: મેનિન્જાઇટિસ એ એક બેક્ટેરિયલ અથવા વાયરલ ચેપ છે જે મગજ અને કરોડરજ્જુના આવરણને અસર કરે છે. તે તાવ, માથાનો દુખાવો, ગરદન જકડાઈ જવી અને ઉલટી જેવા લક્ષણોનું કારણ બની શકે છે.
- સેપ્ટિકemia: સેપ્ટિકemia એ લોહીનો ચેપ છે. તે તાવ, ઠંડી, ઝડપી શ્વાસ અને હૃદયના ધબકારા જેવા લક્ષણોનું કારણ બની શકે છે.
- ફંગલ ચેપ:
- ખરજવું: ખરજવું એ એક ફંગલ ચેપ છે જે ત્વચાને અસર કરે છે. તે ખંજવાળ અને ફોલ્લીઓનું કારણ બને છે.
- એથ્લીટિક ફૂટ: એથ્લીટિક ફૂટ એ એક ફંગલ ચેપ છે જે પગને અસર કરે છે. તે ખંજવાળ, છાલ અને તિરાડોનું કારણ બને છે.
- યીસ્ટ ચેપ: યીસ્ટ ચેપ એ એક ફંગલ ચેપ છે જે યોનિને અસર કરે છે. તે ખંજવાળ, બર્નિંગ અને સ્રાવનું કારણ બને છે.
- પરોપજીવી ચેપ:
- મેલેરિયા: મેલેરિયા એ એક પરોપજીવી ચેપ છે જે મચ્છરોના કરડવાથી ફેલાય છે. તે તાવ, ઠંડી અને પરસેવો જેવા લક્ષણોનું કારણ બની શકે છે.
- ગિઆર્ડિઆસિસ: ગિઆર્ડિઆસિસ એ એક પરોપજીવી ચેપ છે જે પેટ અને આંતરડાને અસર કરે છે. તે ઝાડા, ઉબકા અને પેટમાં દુખાવો જેવા લક્ષણોનું કારણ બની શકે છે.
- ટોક્સોપ્લાઝ્મોસિસ: ટોક્સોપ્લાઝ્મોસિસ એ એક પરોપજીવી ચેપ છે જે બિલાડીઓ અને અન્ય પ્રાણીઓમાં જોવા મળે છે. તે સામાન્ય રીતે હળવા લક્ષણોનું કારણ બને છે, પરંતુ તે ગર્ભવતી મહિલાઓ અને નબળી રોગપ્રતિકારક શક્તિ ધરાવતા લોકો માટે જોખમી હોઈ શકે છે.
જો તમને કોઈ ચેપી રોગના લક્ષણો હોય, તો ડૉક્ટરને જોવું મહત્વપૂર્ણ છે. તેઓ તમને યોગ્ય નિદાન અને સારવાર આપી શકશે. ચેપી રોગોને રોકવા માટે તમે ઘણાં પગલાં લઈ શકો છો, જેમ કે:
- વારંવાર તમારા હાથ ધોવા
- બીમાર લોકો સાથે નજીકના સંપર્કને ટાળવો
- તમારા મોં અને નાકને ઢાંકવા જ્યારે તમે ઉધરસ અથવા છીંક આવે
- રસીકરણ કરાવો
- સ્વસ્થ આહાર લો અને નિયમિત કસરત કરો
ચેપી રોગોના પ્રકારો
ચેપી રોગોના ઘણા પ્રકારો છે, જે વિવિધ રીતે ફેલાય છે અને શરીરના જુદા જુદા ભાગોને અસર કરે છે. અહીં કેટલાક મુખ્ય પ્રકારો છે:
1. વાયરલ ચેપ:
- વાયરસ એ ખૂબ જ નાના જીવાણુઓ છે જે જીવંત કોષોની અંદર જ પ્રજનન કરી શકે છે.
- તેઓ સામાન્ય શરદીથી લઈને એઇડ્સ જેવા ગંભીર રોગો સુધીના વિવિધ રોગોનું કારણ બની શકે છે.
- ઉદાહરણો: ફ્લૂ, ઓરી, રૂબેલા, ચિકનપોક્સ, હર્પીસ, HIV/AIDS
2. બેક્ટેરિયલ ચેપ:
- બેક્ટેરિયા એ એકકોષીય જીવો છે જે આપણા શરીરમાં અથવા બહાર જીવી શકે છે.
- તેઓ વિવિધ પ્રકારના રોગોનું કારણ બની શકે છે, જેમ કે સ્ટ્રેપ થ્રોટ, ટ્યુબરક્યુલોસિસ અને ન્યુમોનિયા.
- ઉદાહરણો: સ્ટ્રેપ થ્રોટ, ટ્યુબરક્યુલોસિસ (ટીબી), ન્યુમોનિયા, મેનિન્જાઇટિસ, સેપ્ટિકemia
3. ફંગલ ચેપ:
- ફૂગ એ છોડ જેવા જીવો છે જે ભેજવાળી જગ્યાએ ઉગે છે.
- તેઓ ત્વચા, નખ અને ફેફસાં જેવા શરીરના વિવિધ ભાગોને ચેપ લગાવી શકે છે.
- ઉદાહરણો: દાદર, એથ્લીટિક ફૂટ, યીસ્ટ ચેપ
4. પરોપજીવી ચેપ:
- પરોપજીવીઓ એ જીવો છે જે ખોરાક અને આશ્રય માટે અન્ય જીવો (જેમ કે મનુષ્ય) પર આધાર રાખે છે.
- તેઓ મેલેરિયા અને ગીઆર્ડિઆસિસ જેવા રોગોનું કારણ બની શકે છે.
- ઉદાહરણો: મેલેરિયા, ગીઆર્ડિઆસિસ, ટોક્સોપ્લાઝ્મોસિસ
ચેપી રોગો કેવી રીતે ફેલાય છે તેના આધારે પણ તેનું વર્ગીકરણ કરી શકાય છે:
- સીધો સંપર્ક: ચેપગ્રસ્ત વ્યક્તિના શરીરના પ્રવાહી (જેમ કે લોહી, લાળ અથવા વીર્ય) સાથે સીધો સંપર્ક કરવાથી ફેલાય છે.
- હવાજન્ય: ચેપગ્રસ્ત વ્યક્તિ દ્વારા ઉધરસ અથવા છીંક આવવાથી હવામાં ફેલાતા નાના ટીપાં દ્વારા ફેલાય છે.
- ખોરાક અથવા પાણીજન્ય: દૂષિત ખોરાક અથવા પાણી પીવાથી ફેલાય છે.
- જંતુઓ દ્વારા: મચ્છર અથવા ચાંચડ જેવા જંતુઓ દ્વારા ફેલાય છે.
ચેપી રોગો કેવી રીતે ફેલાય છે?
ચેપી રોગો વિવિધ રીતે ફેલાય છે, અને દરેક રોગ ફેલાવવાની પોતાની આગવી રીત ધરાવે છે. અહીં ચેપી રોગો ફેલાવવાની કેટલીક સામાન્ય રીતો છે:
સીધો સંપર્ક:
- વ્યક્તિગત સંપર્ક: ચેપગ્રસ્ત વ્યક્તિના શરીરના પ્રવાહી (જેમ કે લોહી, લાળ, વીર્ય અથવા યોનિમાર્ગ પ્રવાહી) સાથે સીધો સંપર્ક કરવાથી રોગ ફેલાય છે. ઉદાહરણ તરીકે, એઇડ્સ (HIV) અને ગોનોરિયા જેવા જાતીય રોગો આ રીતે ફેલાય છે.
- જન્મ સમયે: ગર્ભાવસ્થા દરમિયાન અથવા જન્મ સમયે માતા પાસેથી બાળકને ચેપ લાગી શકે છે. ઉદાહરણ તરીકે, HIV અને સિફિલિસ આ રીતે ફેલાય છે.
ગંદકી અને દૂષિત વસ્તુઓ:
- દૂષિત સપાટીઓ: ચેપગ્રસ્ત વ્યક્તિ દ્વારા સ્પર્શ કરવામાં આવેલી સપાટીઓ (જેમ કે દરવાજાના હેન્ડલ, ટેબલ અથવા ફોન) પર જીવાણુઓ રહી શકે છે, અને જ્યારે બીજી વ્યક્તિ તે સપાટીને સ્પર્શ કરે છે અને પછી પોતાના મોં, નાક અથવા આંખોને સ્પર્શ કરે છે, ત્યારે તેને ચેપ લાગી શકે છે.
- દૂષિત ખોરાક અથવા પાણી: ચેપગ્રસ્ત વ્યક્તિ દ્વારા તૈયાર કરવામાં આવેલો અથવા દૂષિત પાણીથી ધોવામાં આવેલો ખોરાક ખાવાથી અથવા દૂષિત પાણી પીવાથી રોગ ફેલાય છે. ઉદાહરણ તરીકે, કોલેરા અને ટાઇફોઇડ આ રીતે ફેલાય છે.
હવા દ્વારા:
- છીંક અને ઉધરસ: જ્યારે ચેપગ્રસ્ત વ્યક્તિ છીંક ખાય છે અથવા ઉધરસ કરે છે, ત્યારે તેના મોં અને નાકમાંથી નાના ટીપાં બહાર નીકળે છે જેમાં જીવાણુઓ હોય છે. આ ટીપાં હવામાં ફેલાય છે અને જ્યારે બીજી વ્યક્તિ તેને શ્વાસમાં લે છે, ત્યારે તેને ચેપ લાગી શકે છે. ઉદાહરણ તરીકે, શરદી, ફ્લૂ અને ટ્યુબરક્યુલોસિસ આ રીતે ફેલાય છે.
જંતુઓ દ્વારા:
- મચ્છર, ચાંચડ અને અન્ય જંતુઓ: મચ્છર, ચાંચડ અને અન્ય જંતુઓ ચેપગ્રસ્ત વ્યક્તિ અથવા પ્રાણીમાંથી લોહી ચૂસીને જીવાણુઓ મેળવે છે, અને જ્યારે તેઓ બીજી વ્યક્તિને કરડે છે, ત્યારે તેઓ જીવાણુઓ ફેલાવે છે. ઉદાહરણ તરીકે, મેલેરિયા, ડેન્ગ્યુ અને ઝિકા વાયરસ આ રીતે ફેલાય છે.
પ્રાણીઓ દ્વારા:
- કરોડવાથી અથવા ખંજવાળવાથી: કેટલાક પ્રાણીઓ, જેમ કે કૂતરા, બિલાડીઓ અને ચામાચીડિયા, રેબીઝ જેવા રોગો ફેલાવી શકે છે. જ્યારે તેઓ કોઈ વ્યક્તિને કરડે છે અથવા ખંજવાળ કરે છે, ત્યારે તેઓ જીવાણુઓ ફેલાવે છે.
ચેપી રોગોના લક્ષણો
ચેપી રોગોના લક્ષણો રોગના પ્રકાર અને તેની તીવ્રતાના આધારે અલગ અલગ હોઈ શકે છે. કેટલાક સામાન્ય લક્ષણોમાં નીચેનાનો સમાવેશ થાય છે:
- તાવ
- ઠંડી લાગવી
- શરીરમાં દુખાવો
- માથાનો દુખાવો
- ગળામાં દુખાવો
- ઉધરસ
- છીંક આવવી
- વહેતું નાક
- થાક
- ઉલટી
- ઝાડા
- ફોલ્લીઓ
કેટલાક ચેપી રોગોમાં કોઈ લક્ષણો જોવા મળતા નથી, અથવા ખૂબ હળવા લક્ષણો હોય છે. આવા કિસ્સાઓમાં, વ્યક્તિને ખ્યાલ પણ ન હોઈ શકે કે તેને ચેપ લાગ્યો છે.
ચેપી રોગોના કેટલાક વધુ ગંભીર લક્ષણોમાં નીચેનાનો સમાવેશ થાય છે:
- શ્વાસ લેવામાં તકલીફ
- છાતીમાં દુખાવો
- બેભાન થઈ જવું
- આંચકી
- લકવો
ચેપી રોગના કારણો શું છે?
ચેપી રોગો વિવિધ સૂક્ષ્મજીવો દ્વારા થાય છે, જેમાં નીચેનાનો સમાવેશ થાય છે:
- વાયરસ: વાયરસ એ ખૂબ જ નાના ચેપી એજન્ટ છે જે જીવંત કોષોની અંદર જ પ્રજનન કરી શકે છે. તેઓ સામાન્ય શરદીથી લઈને એઇડ્સ જેવા ગંભીર રોગો સુધીના વિવિધ રોગોનું કારણ બની શકે છે. ઉદાહરણો: ફ્લૂ, ઓરી, રૂબેલા, ચિકનપોક્સ, હર્પીસ, HIV/AIDS.
- બેક્ટેરિયા: બેક્ટેરિયા એ એકકોષીય જીવો છે જે આપણા શરીરમાં અથવા બહાર જીવી શકે છે. તેઓ વિવિધ પ્રકારના રોગોનું કારણ બની શકે છે, જેમ કે સ્ટ્રેપ થ્રોટ, ટ્યુબરક્યુલોસિસ અને ન્યુમોનિયા. ઉદાહરણો: સ્ટ્રેપ થ્રોટ, ટ્યુબરક્યુલોસિસ (ટીબી), ન્યુમોનિયા, મેનિન્જાઇટિસ, સેપ્ટિકemia.
- ફૂગ: ફૂગ એ છોડ જેવા જીવો છે જે ભેજવાળી જગ્યાએ ઉગે છે. તેઓ ત્વચા, નખ અને ફેફસાં જેવા શરીરના વિવિધ ભાગોને ચેપ લગાવી શકે છે. ઉદાહરણો: દાદર, એથ્લીટિક ફૂટ, યીસ્ટ ચેપ.
- પરોપજીવીઓ: પરોપજીવીઓ એ જીવો છે જે ખોરાક અને આશ્રય માટે અન્ય જીવો (જેમ કે મનુષ્ય) પર આધાર રાખે છે. તેઓ મેલેરિયા અને ગીઆર્ડિઆસિસ જેવા રોગોનું કારણ બની શકે છે. ઉદાહરણો: મેલેરિયા, ગીઆર્ડિઆસિસ, ટોક્સોપ્લાઝ્મોસિસ.
ચેપી રોગો કેવી રીતે ફેલાય છે તેના આધારે પણ તેનું વર્ગીકરણ કરી શકાય છે:
- સીધો સંપર્ક: ચેપગ્રસ્ત વ્યક્તિના શરીરના પ્રવાહી (જેમ કે લોહી, લાળ અથવા વીર્ય) સાથે સીધો સંપર્ક કરવાથી ફેલાય છે.
- હવાજન્ય: ચેપગ્રસ્ત વ્યક્તિ દ્વારા ઉધરસ અથવા છીંક આવવાથી હવામાં ફેલાતા નાના ટીપાં દ્વારા ફેલાય છે.
- ખોરાક અથવા પાણીજન્ય: દૂષિત ખોરાક અથવા પાણી પીવાથી ફેલાય છે.
- જંતુઓ દ્વારા: મચ્છર અથવા ચાંચડ જેવા જંતુઓ દ્વારા ફેલાય છે.
ચેપી રોગનું જોખમ કોને વધારે છે?
ઘણા લોકોને ચેપી રોગો થવાનું જોખમ હોય છે, પરંતુ કેટલાક લોકો એવા છે જેમને ચેપી રોગો થવાનું જોખમ વધારે હોય છે. અહીં કેટલાક પરિબળો છે જે ચેપી રોગોનું જોખમ વધારે છે:
- નબળી રોગપ્રતિકારક શક્તિ: એચ.આઈ.વી./એઈડ્સ, કેન્સર, અથવા અમુક દવાઓ (જેમ કે સ્ટેરોઈડ્સ અથવા કીમોથેરાપી) લેતા લોકોની રોગપ્રતિકારક શક્તિ નબળી હોય છે, જેના કારણે તેમને ચેપી રોગો થવાનું જોખમ વધારે હોય છે.
- વૃદ્ધાવસ્થા: વૃદ્ધ લોકોની રોગપ્રતિકારક શક્તિ નબળી પડી જાય છે, જેના કારણે તેમને ચેપી રોગો થવાનું જોખમ વધારે હોય છે.
- બાળપણ: નાના બાળકોની રોગપ્રતિકારક શક્તિ હજુ સુધી વિકસિત થઈ હોતી નથી, જેના કારણે તેમને ચેપી રોગો થવાનું જોખમ વધારે હોય છે.
- સગર્ભાવસ્થા: સગર્ભા સ્ત્રીઓની રોગપ્રતિકારક શક્તિમાં ફેરફાર થાય છે, જેના કારણે તેમને કેટલાક ચેપી રોગો થવાનું જોખમ વધારે હોય છે.
- અમુક તબીબી પરિસ્થિતિઓ: ડાયાબિટીસ, હૃદય રોગ, ફેફસાના રોગો અને કિડનીના રોગો ધરાવતા લોકોને ચેપી રોગો થવાનું જોખમ વધારે હોય છે.
- ખરાબ જીવનશૈલી: ધૂમ્રપાન, વધુ પડતો આલ્કોહોલનું સેવન અને નબળો આહાર લેતા લોકોને ચેપી રોગો થવાનું જોખમ વધારે હોય છે.
- ભીડભાડવાળી જગ્યાએ રહેવું: જે લોકો ભીડભાડવાળી જગ્યાએ રહે છે, જેમ કે હોસ્ટેલમાં અથવા બેઘર આશ્રયસ્થાનોમાં, તેમને ચેપી રોગો થવાનું જોખમ વધારે હોય છે.
- મુસાફરી: જે લોકો વિકાસશીલ દેશોમાં મુસાફરી કરે છે, જ્યાં અમુક ચેપી રોગો વધુ સામાન્ય છે, તેમને ચેપી રોગો થવાનું જોખમ વધારે હોય છે.
- સ્વાસ્થ્ય સંભાળ કાર્યકરો: સ્વાસ્થ્ય સંભાળ કાર્યકરો, જેમ કે ડોકટરો અને નર્સો, દર્દીઓના સંપર્કમાં આવતા હોવાથી તેમને ચેપી રોગો થવાનું જોખમ વધારે હોય છે.
ચેપી રોગનું નિદાન
ચેપી રોગનું નિદાન કરવા માટે, ડોકટરો વિવિધ પદ્ધતિઓનો ઉપયોગ કરે છે, જેમાં નીચેનાનો સમાવેશ થાય છે:
શારીરિક તપાસ: ડોક્ટર દર્દીના લક્ષણો અને તબીબી ઇતિહાસ વિશે પૂછશે, અને શારીરિક તપાસ કરશે. જેમાં તેઓ દર્દીનું તાપમાન, બ્લડ પ્રેશર અને હૃદયના ધબકારા માપશે. તેઓ દર્દીના ગળા, ફેફસાં અને પેટની પણ તપાસ કરી શકે છે.
લેબોરેટરી પરીક્ષણો: ચેપી રોગનું નિદાન કરવા માટે વિવિધ લેબોરેટરી પરીક્ષણોનો ઉપયોગ કરી શકાય છે. કેટલાક સામાન્ય પરીક્ષણોમાં નીચેનાનો સમાવેશ થાય છે:
- લોહીની તપાસ: લોહીની તપાસ ચેપના સંકેતો શોધી શકે છે, જેમ કે શ્વેત રક્તકણોની સંખ્યામાં વધારો. તે ચોક્કસ ચેપ માટે એન્ટિબોડીઝ અથવા એન્ટિજેન્સ પણ શોધી શકે છે.
- પેશાબની તપાસ: પેશાબની તપાસ મૂત્રમાર્ગના ચેપ અથવા કિડનીના ચેપ જેવા ચેપને શોધી શકે છે.
- ગળાનો સ્વેબ: ગળાનો સ્વેબ સ્ટ્રેપ થ્રોટ અથવા અન્ય બેક્ટેરિયલ ચેપ જેવા ગળાના ચેપને શોધી શકે છે.
- સ્ટૂલ ટેસ્ટ: સ્ટૂલ ટેસ્ટ બેક્ટેરિયલ અથવા પરોપજીવી ચેપ જેવા આંતરડાના ચેપને શોધી શકે છે.
- સ્પુટમ ટેસ્ટ: સ્પુટમ ટેસ્ટ ન્યુમોનિયા અથવા ટ્યુબરક્યુલોસિસ જેવા ફેફસાના ચેપને શોધી શકે છે.
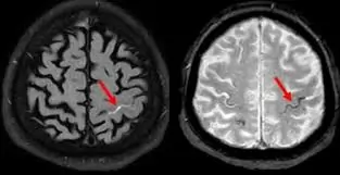
ઇમેજિંગ પરીક્ષણો: કેટલાક કિસ્સાઓમાં, ચેપી રોગનું નિદાન કરવા માટે ઇમેજિંગ પરીક્ષણોનો ઉપયોગ કરી શકાય છે. કેટલાક સામાન્ય ઇમેજિંગ પરીક્ષણોમાં નીચેનાનો સમાવેશ થાય છે:
- એક્સ-રે: એક્સ-રે ન્યુમોનિયા જેવા ફેફસાના ચેપને શોધી શકે છે.
- સીટી સ્કેન: સીટી સ્કેન ચેપના વધુ વિગતવાર ચિત્રો પ્રદાન કરી શકે છે અને તે એબ્સેસ અથવા અન્ય સમસ્યાઓ શોધવામાં મદદ કરી શકે છે.
- એમઆરઆઈ: એમઆરઆઈ ચેપના ખૂબ જ વિગતવાર ચિત્રો પ્રદાન કરી શકે છે અને તે મગજ અથવા કરોડરજ્જુના ચેપને શોધવામાં મદદ કરી શકે છે.
બાયોપ્સી: કેટલાક કિસ્સાઓમાં, ચેપી રોગનું નિદાન કરવા માટે બાયોપ્સી જરૂરી પડી શકે છે. બાયોપ્સીમાં, અસરગ્રસ્ત પેશીનો એક નાનો નમૂનો દૂર કરવામાં આવે છે અને તેને માઇક્રોસ્કોપ હેઠળ તપાસવામાં આવે છે.
ચેપી રોગની સારવાર
ચેપી રોગોની સારવાર રોગના પ્રકાર અને તેની તીવ્રતા પર આધારિત છે. કેટલાક સામાન્ય સારવાર વિકલ્પોમાં નીચેનાનો સમાવેશ થાય છે:
- એન્ટિબાયોટિક્સ: બેક્ટેરિયલ ચેપની સારવાર માટે એન્ટિબાયોટિક્સનો ઉપયોગ થાય છે. તે બેક્ટેરિયાને મારીને અથવા તેમની વૃદ્ધિ અટકાવીને કામ કરે છે.
- એન્ટિવાયરલ દવાઓ: વાયરલ ચેપની સારવાર માટે એન્ટિવાયરલ દવાઓનો ઉપયોગ થાય છે. તે વાયરસને મારીને અથવા તેમની વૃદ્ધિ અટકાવીને કામ કરે છે.
- એન્ટિફંગલ દવાઓ: ફંગલ ચેપની સારવાર માટે એન્ટિફંગલ દવાઓનો ઉપયોગ થાય છે. તે ફૂગને મારીને અથવા તેમની વૃદ્ધિ અટકાવીને કામ કરે છે.
- એન્ટિપેરાસિટિક દવાઓ: પરોપજીવી ચેપની સારવાર માટે એન્ટિપેરાસિટિક દવાઓનો ઉપયોગ થાય છે. તે પરોપજીવીઓને મારીને અથવા તેમની વૃદ્ધિ અટકાવીને કામ કરે છે.
કેટલાક કિસ્સાઓમાં, ચેપી રોગની સારવાર માટે અન્ય ઉપચારોની જરૂર પડી શકે છે, જેમ કે:
- સહાયક સંભાળ: સહાયક સંભાળમાં લક્ષણોને દૂર કરવા અને શરીરને ચેપ સામે લડવામાં મદદ કરવા માટેની સારવારનો સમાવેશ થાય છે. ઉદાહરણ તરીકે, તાવ અને દુખાવાને દૂર કરવા માટે દવાઓનો ઉપયોગ કરી શકાય છે, અને પ્રવાહી અને ઇલેક્ટ્રોલાઇટ્સનું સંતુલન જાળવવા માટે ઇન્ટ્રાવેનસ પ્રવાહીનો ઉપયોગ કરી શકાય છે.
- હોસ્પિટલમાં દાખલ થવું: કેટલાક ગંભીર કિસ્સાઓમાં, વ્યક્તિને હોસ્પિટલમાં દાખલ કરવાની જરૂર પડી શકે છે જેથી તેઓને નજીકથી દેખરેખ રાખી શકાય અને વધુ સઘન સારવાર આપી શકાય.
ચેપી રોગની સારવાર માટેની સૌથી સારી રીત એ છે કે ડૉક્ટરની સલાહ લો. તેઓ તમને યોગ્ય નિદાન અને સારવાર યોજના આપી શકશે. ચેપી રોગોને રોકવા માટે તમે ઘણાં પગલાં લઈ શકો છો, જેમ કે:
- વારંવાર તમારા હાથ ધોવા
- બીમાર લોકો સાથે નજીકના સંપર્કને ટાળવો
- તમારા મોં અને નાકને ઢાંકવા જ્યારે તમે ઉધરસ અથવા છીંક આવે
- રસીકરણ કરાવો
- સ્વસ્થ આહાર લો અને નિયમિત કસરત કરો
ચેપી રોગની આયુર્વેદિક સારવાર
આયુર્વેદિક ચિકિત્સામાં ચેપી રોગોની સારવાર માટે વિવિધ પદ્ધતિઓનો ઉપયોગ કરવામાં આવે છે. આ પદ્ધતિઓમાં નીચેનાનો સમાવેશ થાય છે:
- આહાર અને જીવનશૈલીમાં ફેરફાર: આયુર્વેદિક ચિકિત્સામાં આહાર અને જીવનશૈલીમાં ફેરફારને ખૂબ મહત્વ આપવામાં આવે છે. ચેપી રોગોથી પીડિત વ્યક્તિને હળવો અને પૌષ્ટિક આહાર લેવાની સલાહ આપવામાં આવે છે. તેમને ઠંડા ખોરાક અને પીણાં, તેમજ ભારે અને તૈલી ખોરાક ટાળવાની પણ સલાહ આપવામાં આવે છે.
- જડીબુટ્ટીઓ અને ખનિજો: આયુર્વેદિક ચિકિત્સામાં ચેપી રોગોની સારવાર માટે વિવિધ જડીબુટ્ટીઓ અને ખનિજોનો ઉપયોગ કરવામાં આવે છે. કેટલાક સામાન્ય રીતે ઉપયોગમાં લેવાતી જડીબુટ્ટીઓમાં હળદર, આદુ, તુલસી અને ગિલોયનો સમાવેશ થાય છે.
- પંચકર્મ ચિકિત્સા: પંચકર્મ એ આયુર્વેદિક ચિકિત્સાની એક શુદ્ધિકરણ પ્રક્રિયા છે જે શરીરમાંથી ઝેર દૂર કરવામાં મદદ કરે છે. પંચકર્મ ચિકિત્સામાં વિવિધ તકનીકોનો ઉપયોગ કરવામાં આવે છે, જેમ કે મસાજ, સ્ટીમ બાથ અને એનિમા.
આયુર્વેદિક ચિકિત્સામાં ચેપી રોગોની સારવાર વ્યક્તિગત રીતે કરવામાં આવે છે. આનો અર્થ છે કે ડૉક્ટર દરેક વ્યક્તિની જરૂરિયાતો અનુસાર સારવાર યોજના વિકસાવશે.
ચેપી રોગો માટે કેટલાક સામાન્ય આયુર્વેદિક ઉપાયો:
- તાવ માટે: તુલસી, આદુ અને હળદરનો ઉકાળો પીવો.
- શરદી અને ઉધરસ માટે: મધ અને આદુનું મિશ્રણ લો.
- ઝાડા માટે: જીરું અને ધાણાનું પાણી પીવો.
- ત્વચાના ચેપ માટે: હળદર અને લીમડાની પેસ્ટ લગાવો.
ચેપી રોગનો ઘરેલું ઉપચાર
ચેપી રોગો માટે ઘણા ઘરેલું ઉપચારો છે જે લક્ષણોને દૂર કરવામાં અને પુનઃપ્રાપ્તિને ઝડપી બનાવવામાં મદદ કરી શકે છે. જો કે, તે યાદ રાખવું મહત્વપૂર્ણ છે કે ઘરેલું ઉપચારો તબીબી સારવારનો વિકલ્પ નથી, અને ગંભીર ચેપ માટે હંમેશા ડૉક્ટરની સલાહ લેવી જોઈએ.
ચેપી રોગો માટે કેટલાક સામાન્ય ઘરેલું ઉપચારોમાં નીચેનાનો સમાવેશ થાય છે:
- આરામ: જ્યારે તમને ચેપ હોય ત્યારે આરામ કરવો ખૂબ જ મહત્વપૂર્ણ છે. આ તમારા શરીરને ચેપ સામે લડવામાં મદદ કરશે.
- પ્રવાહી: પુષ્કળ પ્રવાહી પીવું, જેમ કે પાણી, રસ અથવા સૂપ, ડિહાઇડ્રેશન અટકાવવામાં મદદ કરશે.
- ગરમ પાણીથી કોગળા: ગળામાં દુખાવો અથવા ઉધરસ માટે ગરમ પાણીથી કોગળા કરવાથી રાહત મળી શકે છે.
- હળદર: હળદર એ એક શક્તિશાળી એન્ટીઑકિસડન્ટ છે જે ચેપ સામે લડવામાં મદદ કરી શકે છે. તમે તેને દૂધ અથવા પાણીમાં ભેળવીને પી શકો છો, અથવા તેને પેસ્ટ બનાવીને અસરગ્રસ્ત વિસ્તાર પર લગાવી શકો છો.
- આદુ: આદુમાં એન્ટિવાયરલ અને એન્ટીબેક્ટેરિયલ ગુણધર્મો હોય છે. તમે તેને ચામાં ઉમેરીને પી શકો છો, અથવા તેને પેસ્ટ બનાવીને અસરગ્રસ્ત વિસ્તાર પર લગાવી શકો છો.
- તુલસી: તુલસીમાં એન્ટિવાયરલ અને એન્ટીબેક્ટેરિયલ ગુણધર્મો પણ હોય છે. તમે તેના પાંદડાને ચાવી શકો છો, અથવા તેને ચામાં ઉમેરીને પી શકો છો.
- મધ: મધ એ કુદરતી કફ સિરપ છે જે ઉધરસને શાંત કરવામાં મદદ કરી શકે છે. તમે તેને ચામાં ઉમેરીને પી શકો છો, અથવા તેને સીધું લઈ શકો છો.
ચેપી રોગો માટેના કેટલાક વિશિષ્ટ ઘરેલું ઉપચારોમાં નીચેનાનો સમાવેશ થાય છે:
- શરદી અને ફ્લૂ માટે: ગરમ સૂપ પીવો, નાસિકા સ્પ્રેનો ઉપયોગ કરો અને પુષ્કળ આરામ કરો.
- ગળામાં દુખાવો માટે: ગરમ પાણીથી કોગળા કરો, મધ લો અને લોઝેન્જનો ઉપયોગ કરો.
- ઉધરસ માટે: કફ સિરપ લો, ગરમ પ્રવાહી પીવો અને હ્યુમિડિફાયરનો ઉપયોગ કરો.
- ઝાડા માટે: પુષ્કળ પ્રવાહી પીવો અને હળવો ખોરાક લો.
- ત્વચાના ચેપ માટે: અસરગ્રસ્ત વિસ્તારને સાબુ અને પાણીથી ધોઈ લો, અને એન્ટિબાયોટિક મલમ લગાવો.
ચેપી રોગનું જોખમ કઈ રીતે ઘટાડવું?
ચેપી રોગોનું જોખમ ઘટાડવા માટે અહીં કેટલાક ઉપાયો છે:
- વારંવાર હાથ ધોવા: તમારા હાથને સાબુ અને પાણીથી વારંવાર ધોવા જોઈએ, ખાસ કરીને જમતા પહેલાં, ટોયલેટનો ઉપયોગ કર્યા પછી અને બીમાર વ્યક્તિના સંપર્કમાં આવ્યા પછી. જો સાબુ અને પાણી ઉપલબ્ધ ન હોય, તો તમે આલ્કોહોલ આધારિત હેન્ડ સેનિટાઈઝરનો ઉપયોગ કરી શકો છો.
- બીમાર લોકો સાથે નજીકના સંપર્કને ટાળવો: જો કોઈ વ્યક્તિ બીમાર હોય, તો તમારે તેની સાથે નજીકના સંપર્કને ટાળવો જોઈએ. જો તમારે બીમાર વ્યક્તિની સંભાળ લેવાની જરૂર હોય, તો તમારે માસ્ક અને ગ્લોવ્સ જેવા રક્ષણાત્મક સાધનોનો ઉપયોગ કરવો જોઈએ.
- તમારા મોં અને નાકને ઢાંકવા: જ્યારે તમે ઉધરસ અથવા છીંક આવે ત્યારે તમારા મોં અને નાકને ટિશ્યુથી ઢાંકો. જો તમારી પાસે ટિશ્યુ ન હોય, તો તમે તમારી કોણીમાં ઉધરસ અથવા છીંક ખાઈ શકો છો.
- રસીકરણ કરાવો: ઘણા ચેપી રોગો માટે રસીઓ ઉપલબ્ધ છે. રસીકરણ તમને રોગોથી બચાવવામાં મદદ કરી શકે છે.
- સ્વસ્થ આહાર લો અને નિયમિત કસરત કરો: સ્વસ્થ આહાર લેવાથી અને નિયમિત કસરત કરવાથી તમારી રોગપ્રતિકારક શક્તિને મજબૂત રાખવામાં મદદ મળી શકે છે.
- ધૂમ્રપાન અને વધુ પડતો આલ્કોહોલનું સેવન ટાળો: ધૂમ્રપાન અને વધુ પડતો આલ્કોહોલનું સેવન તમારી રોગપ્રતિકારક શક્તિને નબળી પાડી શકે છે, જેના કારણે તમને ચેપી રોગો થવાનું જોખમ વધારે હોય છે.
સારાંશ
ચેપી રોગો એવા રોગો છે જે એક વ્યક્તિમાંથી બીજી વ્યક્તિમાં ફેલાય છે. તે બેક્ટેરિયા, વાયરસ, ફૂગ અથવા પરોપજીવી જેવા સૂક્ષ્મજીવો દ્વારા થાય છે. ચેપી રોગોના ઘણા પ્રકારો છે, અને તે શરીરના કોઈપણ ભાગને અસર કરી શકે છે.
ચેપી રોગોના કેટલાક સામાન્ય લક્ષણોમાં તાવ, ઠંડી લાગવી, શરીરમાં દુખાવો, માથાનો દુખાવો, ગળામાં દુખાવો, ઉધરસ, છીંક આવવી, વહેતું નાક, થાક, ઉલટી, ઝાડા અને ફોલ્લીઓ શામેલ છે.
ચેપી રોગોનું નિદાન કરવા માટે, ડોકટરો વિવિધ પદ્ધતિઓનો ઉપયોગ કરે છે, જેમાં શારીરિક તપાસ, લેબોરેટરી પરીક્ષણો અને ઇમેજિંગ પરીક્ષણો શામેલ છે.
ચેપી રોગોની સારવાર રોગના પ્રકાર અને તેની તીવ્રતા પર આધારિત છે. કેટલાક સામાન્ય સારવાર વિકલ્પોમાં એન્ટિબાયોટિક્સ, એન્ટિવાયરલ દવાઓ, એન્ટિફંગલ દવાઓ અને એન્ટિપેરાસિટિક દવાઓ શામેલ છે.
ચેપી રોગોને રોકવા માટે તમે ઘણાં પગલાં લઈ શકો છો, જેમ કે વારંવાર તમારા હાથ ધોવા, બીમાર લોકો સાથે નજીકના સંપર્કને ટાળવો, તમારા મોં અને નાકને ઢાંકવા જ્યારે તમે ઉધરસ અથવા છીંક આવે, રસીકરણ કરાવો, સ્વસ્થ આહાર લો અને નિયમિત કસરત કરો.
જો તમને કોઈ ચેપી રોગના લક્ષણો જણાય, તો ડૉક્ટરને મળવું મહત્વપૂર્ણ છે. તેઓ તમને યોગ્ય નિદાન અને સારવાર આપી શકશે.
